歯がしみるなら「虫歯かな?と疑って受診する方も多いでしょう。しかし自覚症状なく、見た目でも何ともないと思っていた歯。それが、実は虫歯と言われてたくさん削られてしまった……そんな経験はありませんか。
自覚症状がないので見た目にも変化がなく進行してしまうケースも少なくありません。
そのため、なぜこんなに進むまで気づけなかったのかと疑問に思うのも当然です。
歯がしみるのに自覚症状が少ない理由
現実には、虫歯になった汚染象牙質を取り去らなければなりません。基本的な治療では大きく削ることが多いです。
歯がしみると感じて診察を受けても、表面からは分からないほど進行している場合もあります。

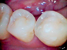
写真1では、どの歯が虫歯なのか見た目だけでは判断しづらい状態でした。
しかしレントゲンで調べてみると、手前の歯に大きな虫歯があることが確認されたのです。

さらに、上から穴を開けてエナメル質を取り除いてみると、思っていた以上に大きな虫歯が見つかりました。
結果として、歯の半分以上を削らざるを得ませんでした。
場合によっては神経まで達してしまい、抜髄処置をしなければならないこともあります。

写真3の状態では、まだ完全に感染象牙質を取り除けていない段階です。
こうして大きく削ると歯へのダメージは大きくなり、実際、虫歯 しみる症状を感じるときには既に進行している可能性も高いと言えます。
しかし現実には、虫歯になってしまった汚染象牙質を取り去る必要があるために、基本的な虫歯治療の際にはかなり削られてしまいます。
しみる歯へのダメージを抑える方法
歯をできるだけ守る考え方として、歯質を最小限に削る方法が考案されています。
たとえば「ドックベストセメント」を使ったやり方です。
- 上からアクセスする際に、穴をできる限り小さくし、周囲のエナメル質を極力残すように
- 中で柔らかくなった汚染象牙質だけを一層かき出す
- 次亜塩素酸ナトリウムなどで患部を処理します
- ドックベストセメントという汚染象牙質を無機化してくれる作用があるセメントを詰めます
- 硬いコンポジットレジンなどでいったんふたをします。
この治療法は本質的なエビデンスがまだ完全に確立していない側面もあります。
ただし、アメリカのテキサス大学などでは一定の研究データがあるようです。
いったんセメントを詰めてから半年ほど経過を観察し、コンポジットレジンを再度取り除きます。そして患部が硬く無機化しているのを確認する手順をとります。
もし再度柔らかい部分が見つかれば同じ処置を繰り返します。その後、最終補綴物の形成や型どりを行い、最終的な補綴物を装着するまでに半年から1年ほどかかる流れです。
しみる歯を守るドックベストセメント治療
この治療は健康保険適用外の自費診療(1歯3千円)になります。
しかし成功すれば、歯の神経と歯質を大きく温存できる可能性があります。どうしても神経を残したい方には有力な選択肢でしょう。ただし、その後の補綴物もすべて自費になる点には注意が必要です。
重要なのは、ほぼ自覚症状がない歯を対象とすることにあります。
すでにしみる痛みが強い場合は神経が深く侵されている可能性が高く、成功しにくいです。
歯質や歯髄を守るための一つの方法として試す価値はありますが、長期的な予後をきちんと追う必要があります。
しみる症状を初期に感じる方は、なるべく早めの受診をおすすめします。
また、当院では歯科情報を様々に発信していますのでぜひご覧下さい。

歯の治療は、一般的な内科治療などと少し違いがあります。それは「同じ箇所の治療でも、やり方がたくさんある」ということ。例えば、1つの虫歯を治すだけでも「治療方法」「使う材料」「制作方法」がたくさんあります。選択を誤ると、思わぬ苦労や想像していなかった悩みを抱えてしまうことも、少なくありません。
当院では、みなさまに安心と満足の生活を得て頂くことを目標に、皆様の立場に立った治療を心がけています。お気軽にお越し下さい。



